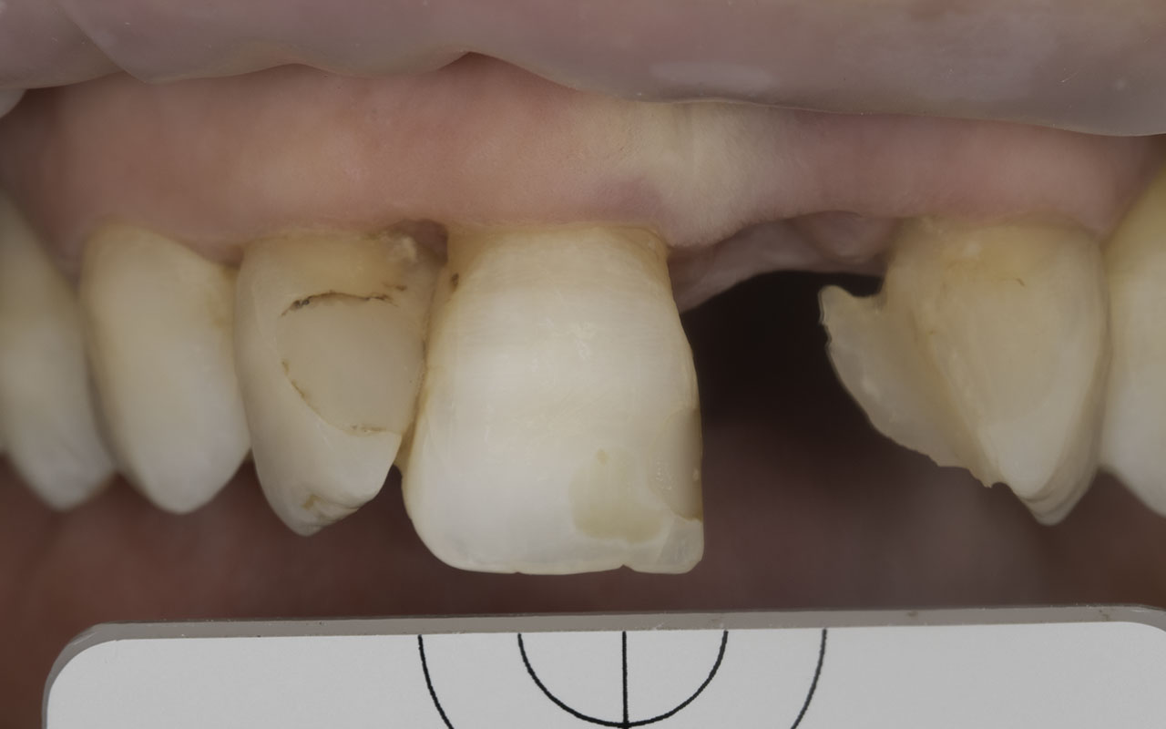
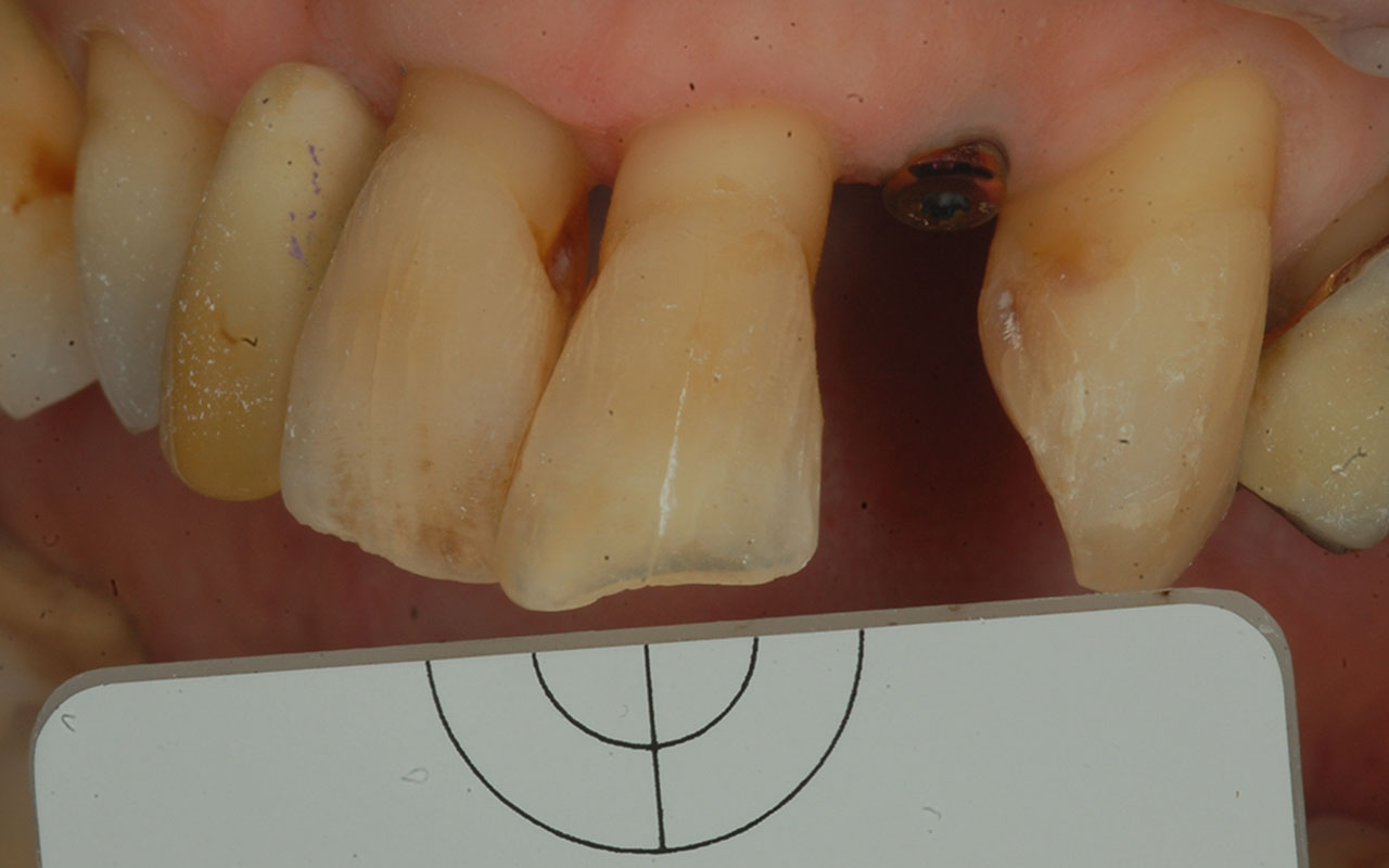
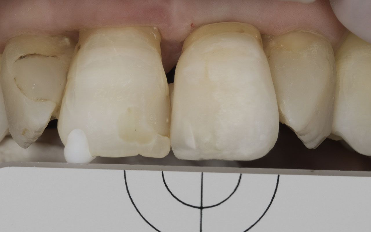
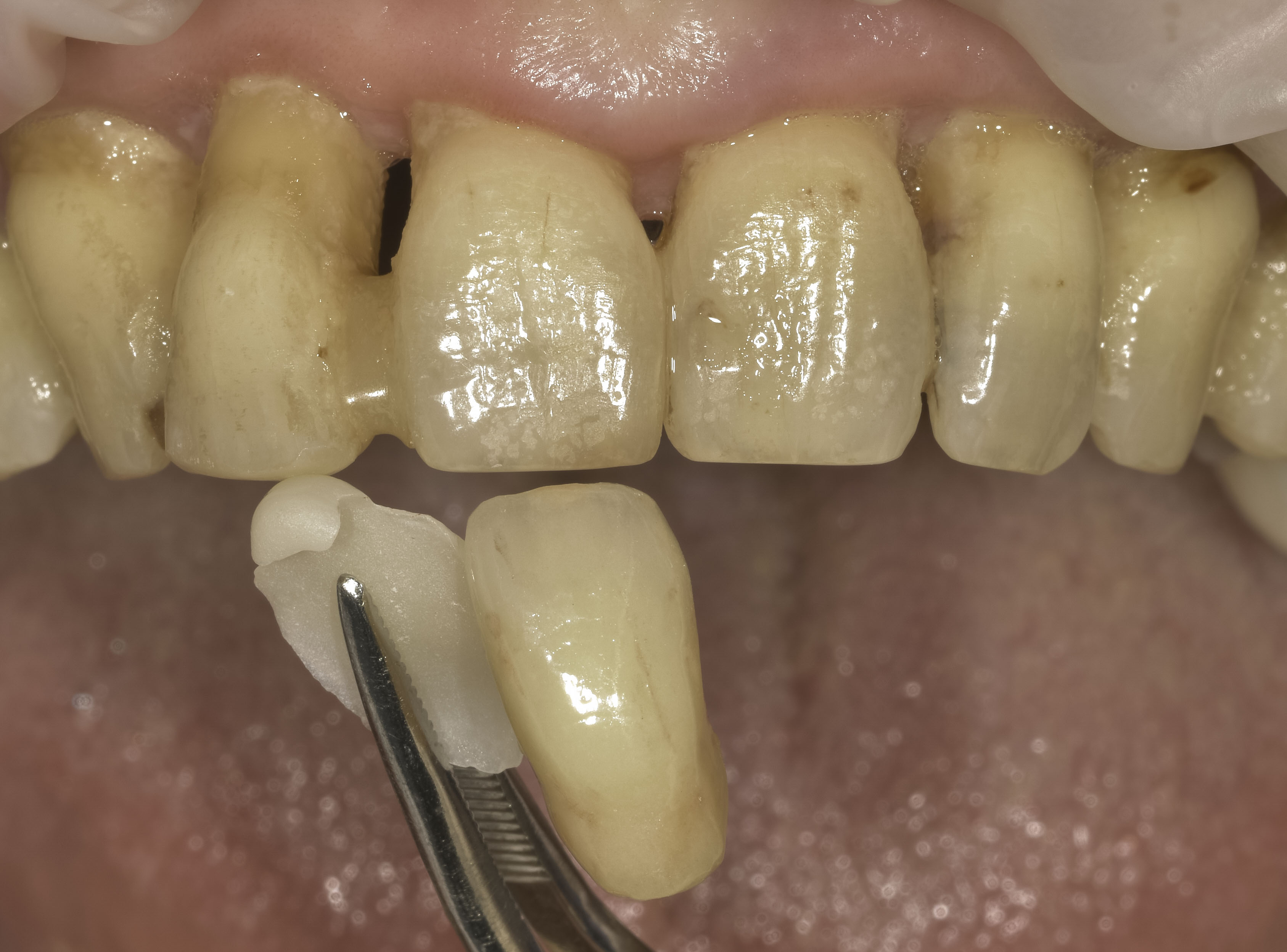
Il sistema eLAB è un approccio innovativo per ottenere una corrispondenza del colore coerente e affidabile ,senza l’uso della scala colori. E’ un sistema OGGETTIVO e non SOGGETTIVO per la rilevazione e riproduzione del croma e del valore
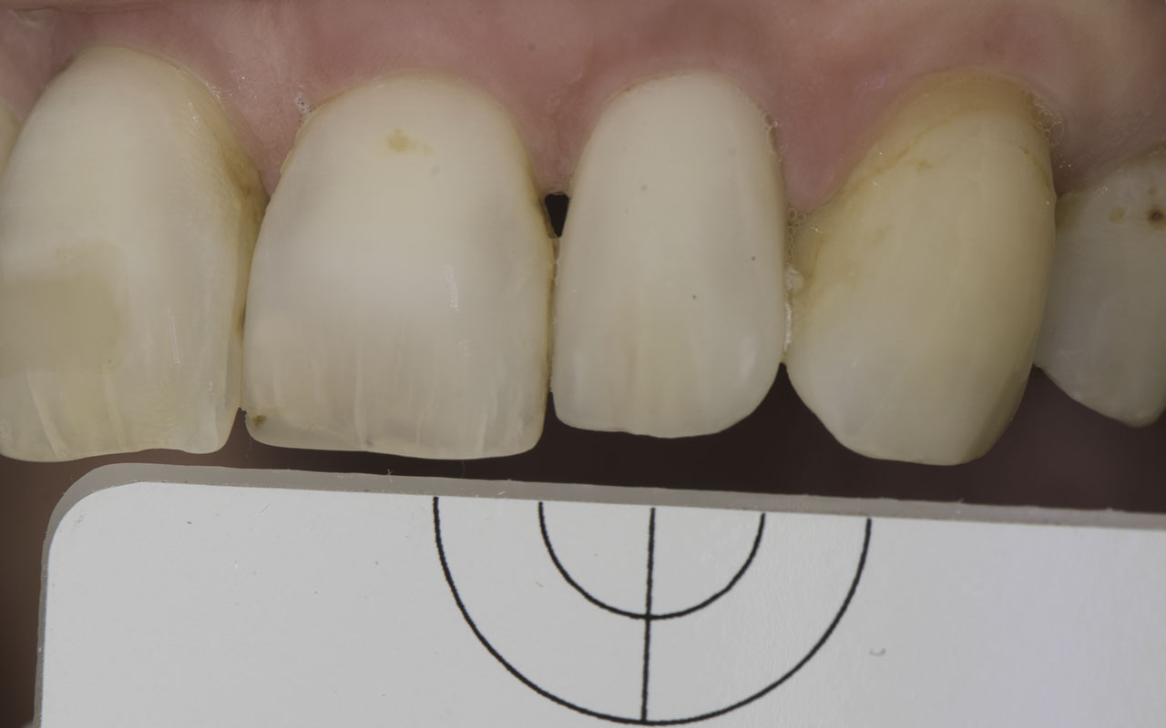
Il sistema eLAB è un approccio innovativo per ottenere una corrispondenza del colore coerente e affidabile ,senza l’uso della scala colori. E’ un sistema OGGETTIVO e non SOGGETTIVO per la rilevazione e riproduzione del croma e del valore
