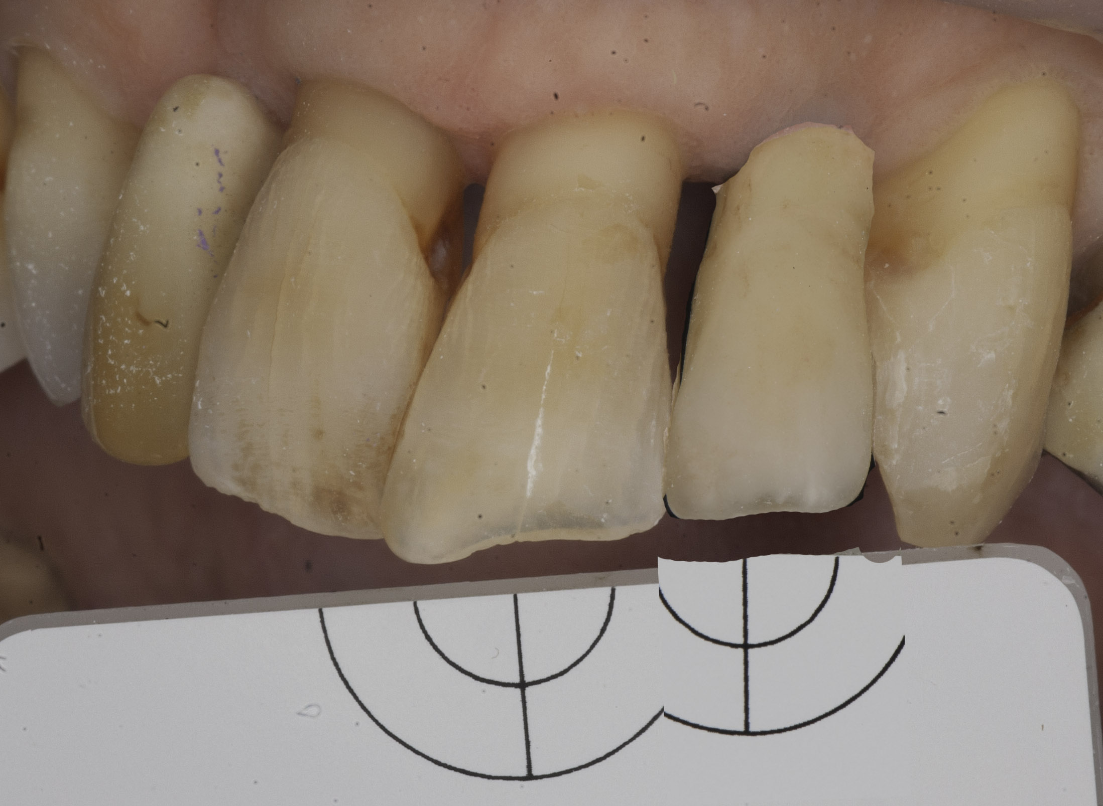
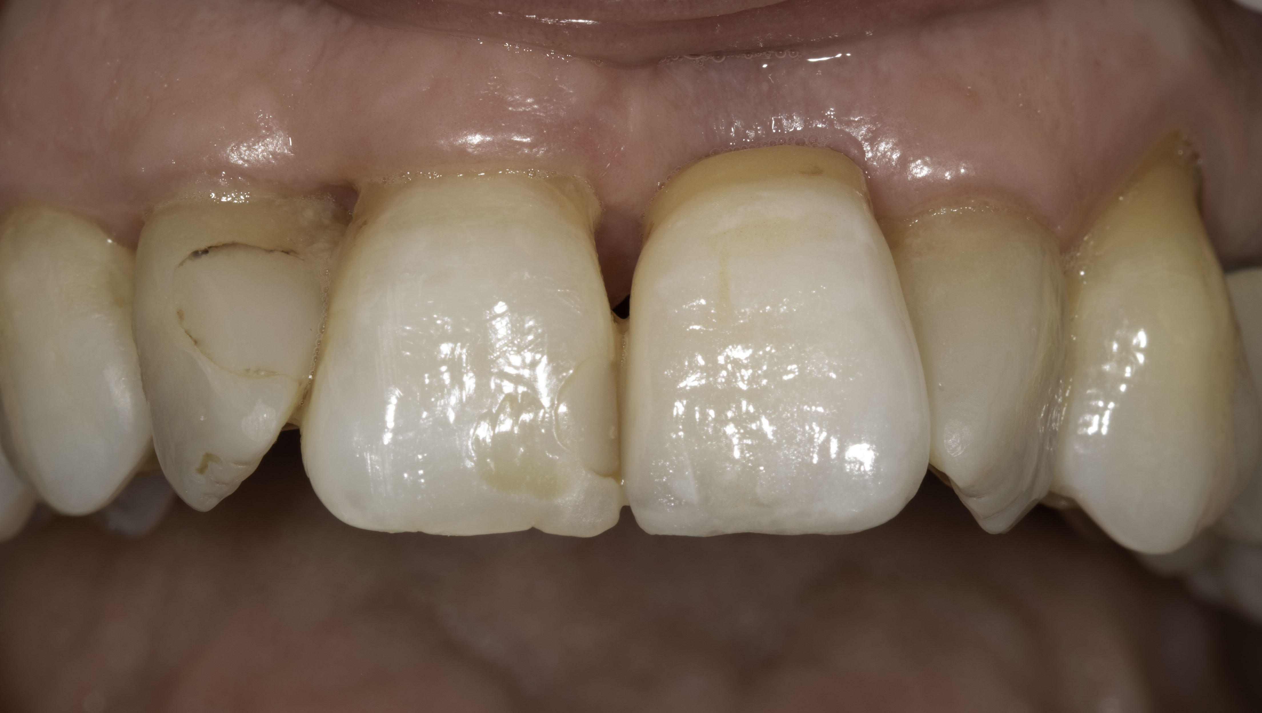
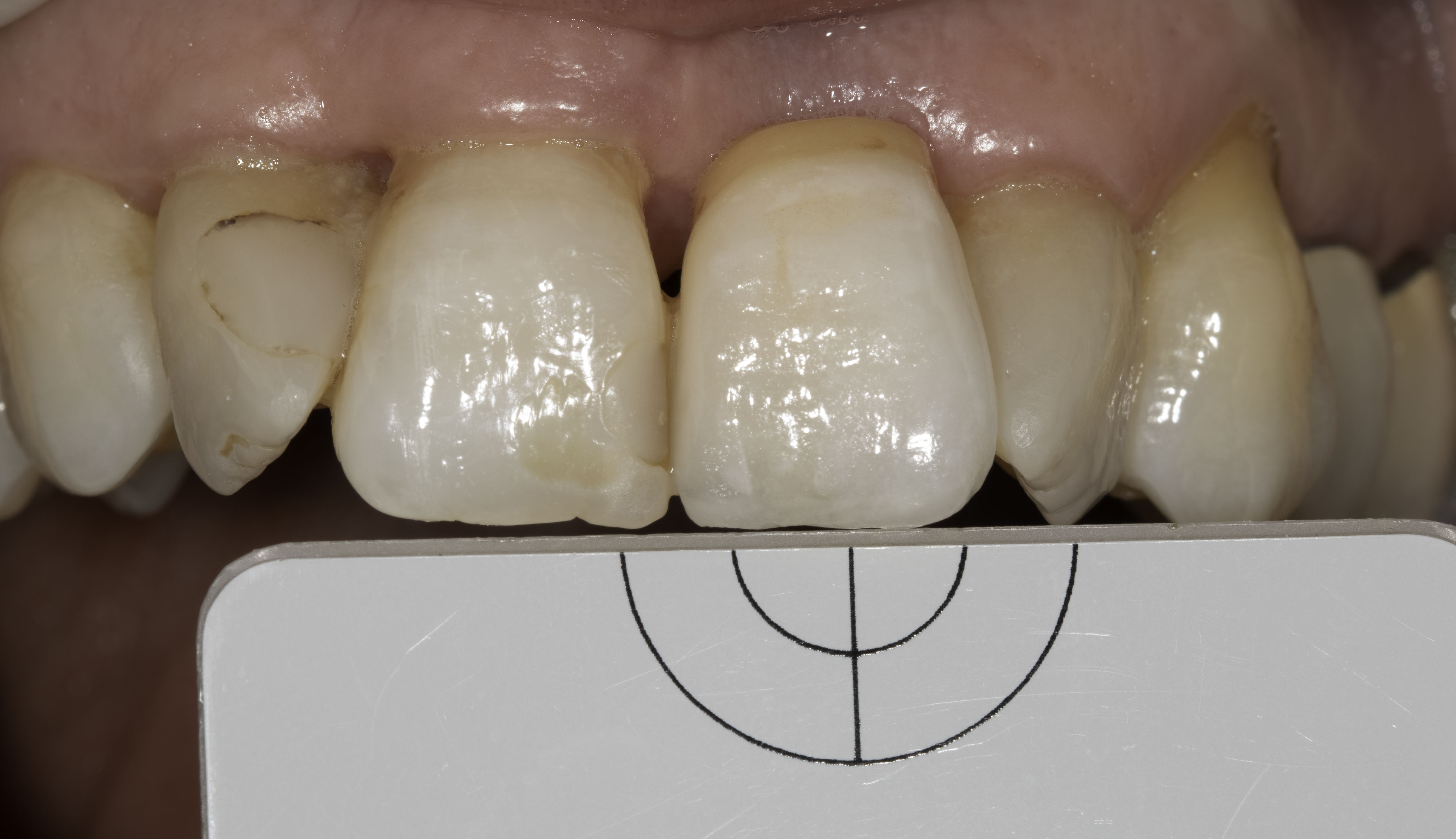
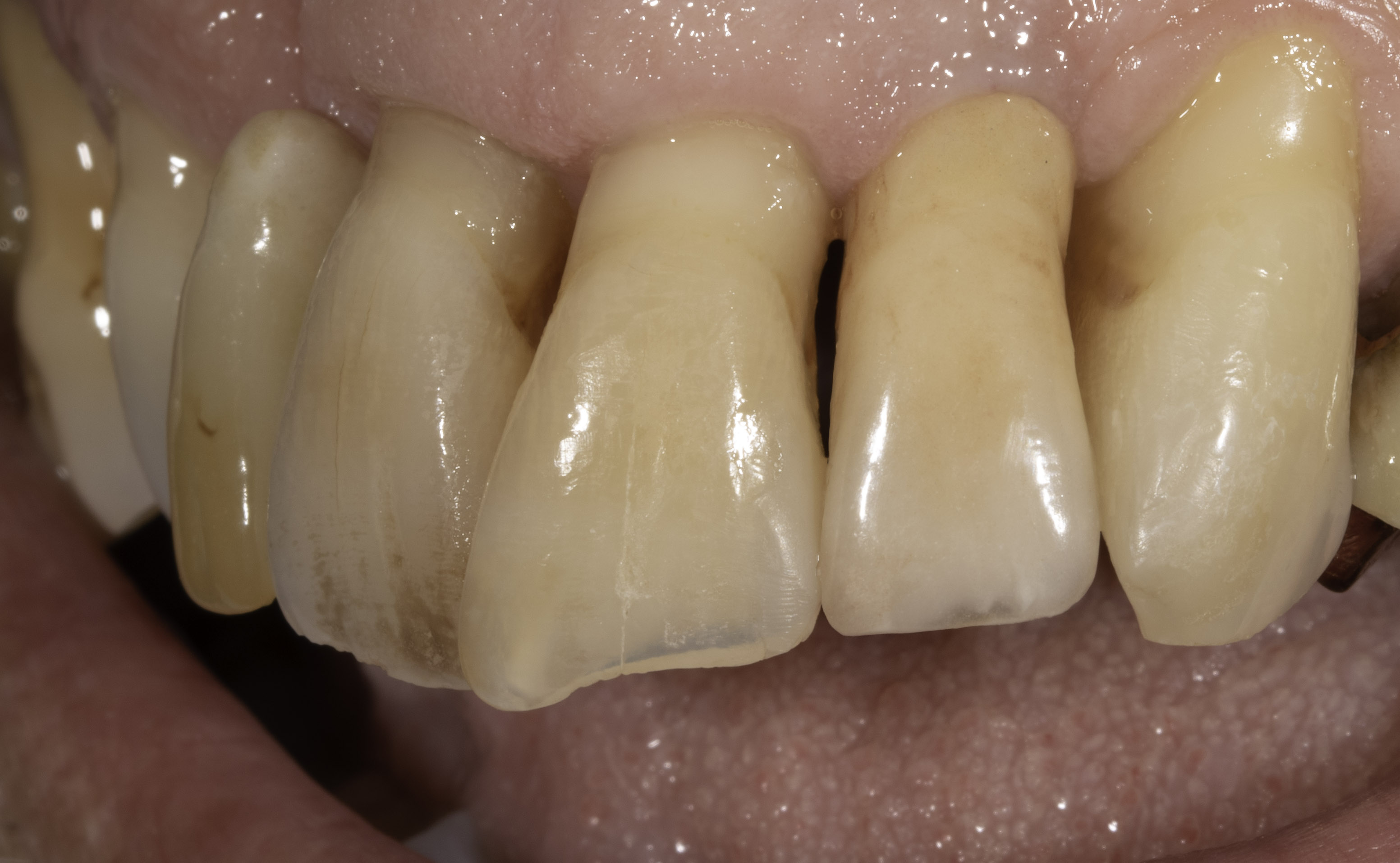
incisale confronto sec cottura finita ok corona in zirconio startificata avvitata b c d e corona in zirconio stratificata avvitata maryland bisc1 new finale finale 1 SIRIANNI 1 Il sistema eLAB è un approccio innovativo per ottenere una corrispondenza del colore coerente e affidabile ,senza l’uso della scala colori. E’ un sistema OGGETTIVO e non SOGGETTIVO per la rilevazione e riproduzione del croma e del valore