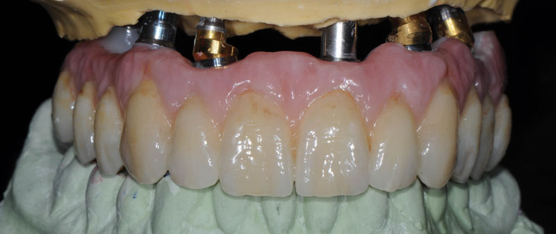
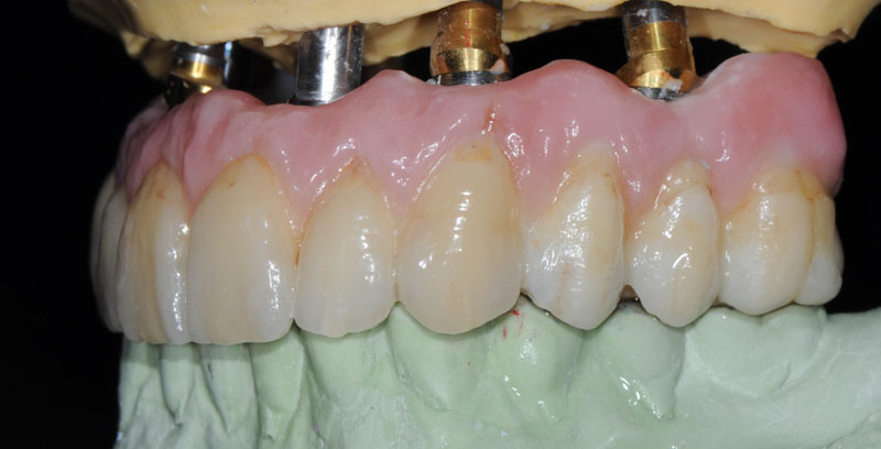
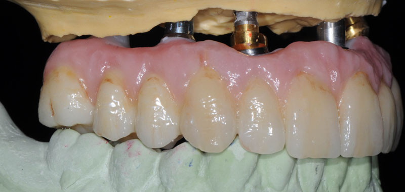
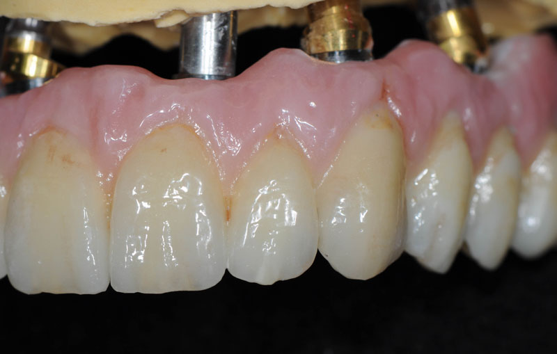
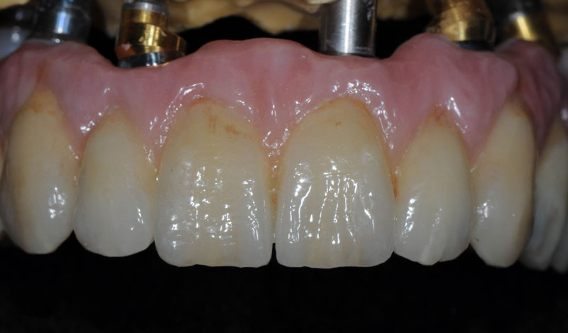
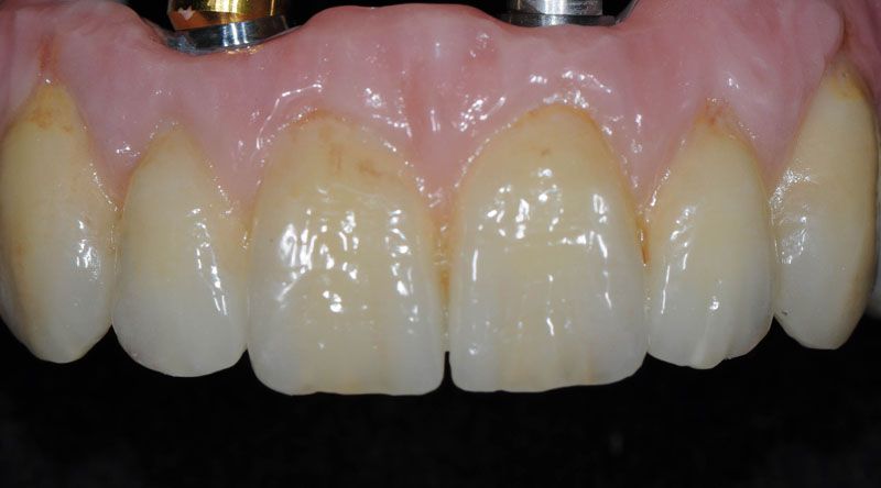
toronto-1 toronto-2 toronto-3 toronto-4 toronto-5 toronto-8 toronto-9 toronto-11 toronto-13 toronto-14 toronto-15 toronto-16 toronto-17 toronto-18 toronto-prettau-strat2-2 toronto-prettau-strat2-3 toronto-prettau-strat2-4 toronto-prettau-strat2-6 toronto-prettau-strat2-7 toronto-prettau-strat2-9 3.0 4.0 5.0 6.0 7.0 8.0 9.0 Protesi fissa avvitata su impianti in zirconia ceramica, zirconia monolitica, metallo resina, fibra fresata e resina.